スタッフブログ
-
スタッフブログ
ズレない!落ちない!入れ歯が小さい!インプラントオーバーデン...

IOD(インプラントオーバーデンチャー)ってご存知ですか?なんらかの理由で多くの歯を失った場合、基本的には入れ歯かインプラントで噛めるようにします。インプラントはメインテナンスが大変、でも入れ歯は外れやすい。そんなお悩みを抱えている方に朗報...
続きを読む -
スタッフブログ
奥歯が崩壊すると、前歯もダメになりますよ

最近野生動物による人への影響が問題視されています。特に熊の被害は毎日のようにニュースになっています。今年の夏は暑かったので、ドングリなど木の実が不作だったことから、人里に下りて民家の柿の木などを食べているようです。そこに居合わせてしまったら...
続きを読む -
スタッフブログ
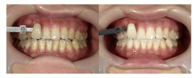
これがプロのお仕事。医療ホワイトニング。

「最近ジムや美容室などでセルフホワイトニングブースができていますが、あれなんですか?白くなるの?」歯がきれいになると、テンションアップしますね。きれいになりたい欲求は人間誰しももっているものですから、それが割と手軽に叶えられるというのは、良...
続きを読む -
スタッフブログ
季節の変わり目に歯周病が進行する?

今年の夏は本当に暑かったですね。35℃超えの日もあり、丸一日冷房の中でじっとしていた、という方も多かったのではないでしょうか。先日歯のクリーニングに来られた方が、終了後に次回予約を年末に取られて帰られたのですが、こんなに暑いのに、次来る時は...
続きを読む -
スタッフブログ
前歯をきれいにしたいすべての方へ

更新が滞っていてすみません・・・。完全に言い訳ですが、普段の診療に加えてスタディグループの勉強会での発表、認定医申請2件、学会への論文提出、学会発表の準備などに追われ、気がつけば8月も終わりに近づいてまいりました。さて。久々の更新。このとこ...
続きを読む
