-
マウスピース矯正
インビザラインできれいな歯並びを手に入れました。非抜歯です。
-

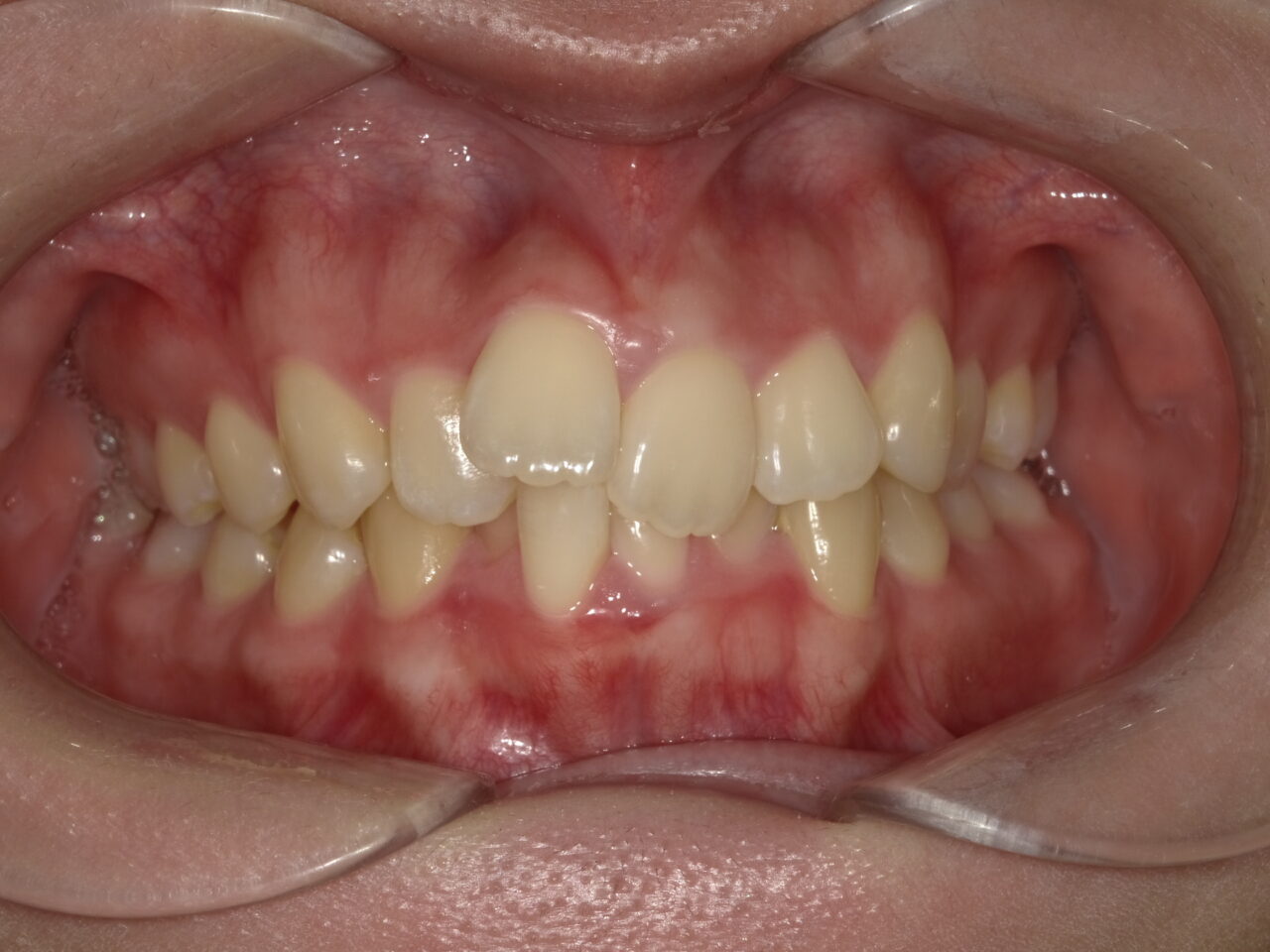
Before
-

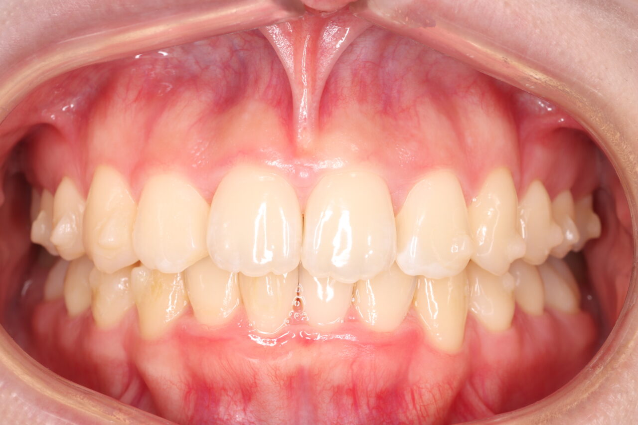
After
-
-
症例情報
症状 前歯の歯並びが悪く、見た目にも食事にも問題が出ていたため、改善を希望された。 年齢・性別 10代女性 治療期間 4か月 治療方法 インビザラインを用いて非抜歯で前歯の叢生を改善。 費用 46万2000円(リテーナー含む) デメリット・注意点 保険適応外治療。状況により非抜歯で対応できないケースもある。アライナーを毎日21時間装着する必要あり。 -
治療詳細
口元がきれいになりました
前歯の前突により口を閉じることが困難でしたが、治療後は閉じることができるようになりました。 -
インビザラインを用いて非抜歯で治療した一症例。気になっていた前歯の歯並びがきれいになり、見た目も機能面も改善した症例です。


